
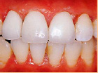
| オールセラミック |
|
価格 110.000円+11.000円(土台代) |
・光の透過が天然の歯と変わらないので、最も自然の歯に近い ・歯肉との境目がわかりづらい ・適合性が良い ・金属アレルギーが起こらない (生体親和性が良い) |
|---|---|---|---|
| メタルボンド |
|
価格 88.000円+11.000円(土台代) |
・長期の耐久性を持ち天然歯に近い ・変色しない ・適合性が良い ・透明感がある |
| ハイブリッドセラミック冠 |
|
価格 59,400円+11.000円(土台代) | ・比較的きれい ・従来のプラスチックの欠点である水分の吸収や摩耗が改善されている |
| 20カラットゴールドクラウン | ![]() |
価格 88.000円 + 11.000円 (土台代) |
・高カラット白金加金製のため高精度で適合性が良い ・天然歯に近い硬さなので対咬歯を痛めない ・明るく高級感がある |
| セラミック | ![]() |
価格 55.500円 |
・天然歯に最も近く変色しない |
|---|---|---|---|
| ゴールド(金) | ![]() |
価格 55.500円 | ・歯にやさしい ・高カラット白金加金製のため高精度で適合性が良い ・天然歯に近い硬さなので対咬歯を痛めない ・明るく高級感がある |
| ハイブリッドセラミック | ![]() |
価格 45.500円 | ・比較的きれい ・従来のプラスチックの欠点である水分の吸収や摩耗が改善されている ・変色しにくい ・経済的 |
| オールセラミック | ![]() |
価格 110.000円 |
・光の透過が天然の歯と変わらないので、最も自然の歯に近い ・歯肉との境目がわかりづらい ・適合性が良い ・金属アレルギーが起こらない (生体親和性が良い) |
|---|---|---|---|
| メタルボンド | ![]() |
価格 88.000円 | ・長期の耐久性を持ち天然歯に近い ・変色しない ・適合性が良い ・透明感がある |
| ハイブリッドセラミック冠 | ![]() |
価格 59.400円 | ・比較的きれい ・従来のプラスチックの欠点である水分の吸収や摩耗が改善されている ・変色しにくい |
| ホワイトニング(ホームブリーチ) | ![]() |
上顎6歯 価格 33.000円(ジェル2本付) 上顎10歯 39.000円(ジェル4本付) 上下12歯 49.000円(ジェル4本付) 上下20歯 58.000円(ジェル7本付) |
・歯を削らない ・簡単 ・天然歯のまま白くなる |
| クリーニング | ![]() |
30分 価格 5.500円 | ・若干白くなる ・継続すると歯周病予防になる ・歯垢と歯石を取ることができる ・ヤニを落とすことができる ・気持ちよい爽快感がある |
| チタン床義歯 | ![]() |
価格 330.000円 |
・重量が軽い ・薄い ・顎になじむ ・アレルギーが起こりにくい ・プラスチックに比べてたわまない |
|---|---|---|---|
| コバルトクロム義歯 | ![]() |
価格 275.000円 | ・薄い金属で出来ているため、プラスチックに比べて、口の中が広く感じる(異物感が少ない) ・熱があごに伝わる ・プラスチックに比べたわまない |
| コバルトクロム床義歯 | ![]() |
価格 275.000円 |
・重量が軽い ・薄い ・アレルギーが起こりにくい ・熱があごに伝わる ・薄い金属で出来ているため、プラスチックに比べて、口の中が広く感じる(異物感が少ない) ・プラスチックに比べてたわまないので歯に優しい |
|---|---|---|---|
| ノンクラスプ義歯 | ![]() |
1歯 価格 88.000円 2~8歯 価格 132.000円 9歯以上 価格 176.000円 |
・強い弾力を有する ・違和感が少ない ・重量が軽い ・薄い ・金属アレルギーが起こらない ・装着感が良い ・残存歯に負担がかかりにくい |